Pourquoi faut-il remplacer une dent manquante ?
Articles similaires
L'hygiène en orthodontie
Vidéos 3D
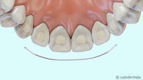
Traitement multi-attaches
Vidéos 3D
- À la une (3)
- Coûts et prise en charge (1)
- Incidents et urgences orthodontiques (1)
- Informations générales dentaires (38)
- L'orthodontie de l'adulte (7)
- La réussite d'un traitement (12)
- Les enfants & les adolescents (23)
- Orthodontie (116)
- Qu'est-ce que l'orthodontie ? (37)
- Questions fréquentes en orthodontie (9)
